駅前のドトールより
イチロウです。
1昨日の目の手術の続きです。
白内障の手術というのはご存知のように
水晶体嚢と言う袋の中にある硬くなってしまって濁った水晶体を
超音波で壊して、バラバラになった水晶体を吸引して空っぽにしたのち
人工の眼内レンズを入れるというもので非常にシンプルな手術です。
開ける穴も小さく、まぶたに覆いかぶさる部分を切開するので
術後も創が露出する心配がないので、術後には眼帯などはしません。
なので、そのままの状態で帰宅ができます。
術後は普段眼鏡をかけていない人は メオガードと言う駄洒落のような
眼鏡をかける必要がありますが、メガネがあれば必要なしです。
寝るときだけメオガードをすれば良いようです。
手術当日、翌日は視力自体が上がらずでしたが、翌々日から
視力が回復してきます。ただ、2mm程度の術創に糸をかける先生だったので
今(1週間経って)も糸が残って目がゴロゴロしたままです。
さて、1昨日の症例はあまりに簡単すぎて拍子抜けしてしまったと思います。
****************************************************************
メルマガ読者の先生はこちらから
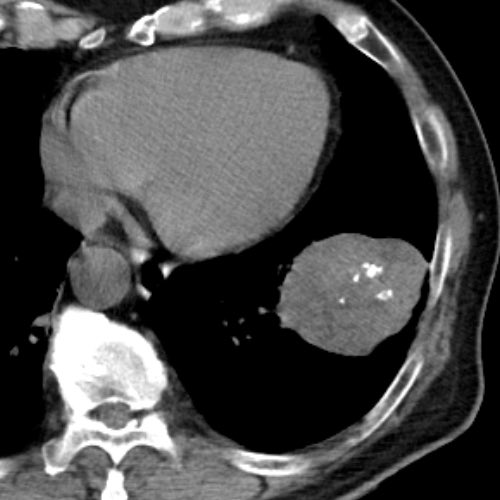
ただ、本症例のように6cmを超えてくるものは稀と思われます。
通常は、1.6cm から 3cm 程度と言われ、8cmに達するようなものはかなり稀です。
ただ、過去の症例ではZong らが報告(2014年、J Pulm Respir Med. )した
30cm というのもあるようです。
通常は肺過誤腫は無症状で偶発発見が多いですが、巨大化すると呼吸困難、咳嗽、胸痛、喀血などの
関連症状を呈することもあるようです。
稀とは思いますが、12cmで無症状発見という報告もありました(Fan X, et ak, Duagb Oatgik, 2924)。
肺過誤腫は一般的には良性病変ですが、腺癌を併存したり、平滑筋肉腫、脂肪肉腫、軟骨肉腫、扁平上皮癌などへの悪性転化も報告されているようです。
悪性転化の肺過誤腫は8cmを超えるような大きなものでした(本症例は6cm)。
本症例もそれを考慮して、手術に踏み切ったようですが、
最終的には悪性所見はありませんでした。
過誤腫は、軟骨、結合組織、脂肪、上皮などの様々な組織が混在している良性腫瘍で
肺、皮膚、心臓、乳房、その他の組織に発生し、hamartoma の語源は
ギリシャ語の 誤り、欠陥を意味する hamartia に由来すると言われます。
肺過誤腫の成長は通常ゆっくりで、発見される場合は、通常3cm未満と言われ
当症例も初診時は2.6cm と3cm未満でした。
CT上吸収域が低い末梢の境界明瞭な分葉状の辺縁を有する結節として認められ
特徴としてはポップコーン様の石灰化が言われていますが、出現頻度は低く
22%程度と言われ、吸収域の低さは -33HU を閾値として採用した場合の
精度、感度、特異度はそれぞれ、95%, 100%, 96% と言われ
過誤腫の検出能力が構造する可能性が言われています。
Hochhegger B, et al. J Thorac Imaging. 2016 Jan;31(1):11-4
当院の症例では初診時はCT値の低そうなところを測定しても−24HU程度で
その報告の閾値では診断が困難でした。画像的には淡い点状石灰化も含まれており
CT値も比較的低かったので、読影者は過誤腫と読影しています。
大きくなってからは、CT値が-30HUを下回る低吸収域を示す部分が

まだら状に混在し、ポップコーン様の粗大な石灰化も明瞭に認められ

診断は容易となっています。かなり増大したという点が手術をした理由です。
以上です。今日は、8年の間に増大し、6cm程度の巨大腫瘍となってしまった
肺過誤腫の症例を提示させていただきました。
今日もメルマガご購読ありがとうございました。
良かったらどうぞ。来週は自分の手術で募集をかけれないので
今週土曜日で締め切りです。良かったらどうぞ。
Easy PI-RADS v.2.1 イーパイ2025年4月末から連休含む 4週間見放題企画 残り、今回含め募集1〜2回で終了。


おはようございます。今回も教育的な症例のご提示ありがとうございます。あまりに大きく他の腫瘍を考えてしまいました。基本は大切ですね。手術無事終わられて良かったです。侵襲の少ない手術とはいえ聞いているだけで自分まで緊張してしまいます。対側も無事に終わることをお祈り申し上げます。